팝업레이어 알림

팝업레이어 알림이 없습니다.
Main Banner 01

In Garak-dong, Songpa-gu
Your trusted standard for dental care.

We deliver the same quality of care as Yonsei University Severance Dental Hospital.
Our skilled team and advanced equipment speak for themselves.

Main Banner 02

Yonsei & SNU-trained
specialists in multidisciplinary collaboration

Guided by expertise, we provide comprehensive, high-quality care from start to finish,
listening closely to each patient and delivering responsible, patient-centered treatment.

Main Banner 03

Anxious about dental visits?
Sleep Sedation Dentistry

We help ease your anxiety with
sedation therapy, safe, comfortable, and stress-free treatment.

Main Banner 04

Preserving your natural teeth,
No-Prep Ceramic Veneer

Unlike conventional veneers that require significant enamel reduction,
our ultra-thin 0.1mm ceramic veneers create a beautifully natural smile.

Main Banner 05

Back to daily life, fast.
Flapless Implant Surgery

Our incision-free implant technique means
less pain, faster recovery, and a quicker return to everyday life.

Main Banner 06

Skip the Hospital
Same-Day Complex Extraction

Our board-certified specialist in comprehensive dentistry
handles even complex extractions safely on the day of your visit.

Main Banner 07
Main Banner 07

Award-Winning. Media-Recognized.
Dr. Ho-Yeon Suh

Recipient of the Minister of Health & Welfare Award and Gimcheon City Commendation,
with broadcast appearances and medical advisory experience on JTBC & MTN.

About Yonsei Dagam

Care with warmth
and sincerity,
Yonsei Dagam Dental

At Yonsei Dagam,
honest, patient-centered care is our foundation.
From the moment you arrive to the moment you leave,
we are committed to providing the very best treatment.

We go beyond satisfaction,
we aim to truly move our patients.

About Usbutton
About Yonsei Dagam Dental

Our Dental Team

Yonsei Dagam Doctors

Yonsei Dagam Dental Office Yonsei Dagam Dental Office Yonsei Dagam Dental Office
Key Services

Key Services

Safe Sleep Sedation

Dental treatment, done while you sleep!

Nervous about coming in?
With conscious sedation, we make your visit
safe, painless, and completely anxiety-free.

Sleep Sedation
Sleep Sedation Treatment
Sleep Sedation Dental Clinic
Complete your treatment in one visit, no repeat trips needed.
Sleep Sedation Centerbutton

Key Services

Immediate Placement
Same-Day Implant

"Minimal incision. Faster healing. Back to life, quickly!"

Traditional implants require multiple visits over a long period.
Our same-day implant allows immediate placement after extraction,
meaning fewer visits and faster recovery.

Same-Day Implant
Implant Center
One-Day Implant Center
Precision 3D diagnosis and virtual surgery planning
for accurate, efficient placement.
Implant Centerbutton

Key Services

Same-Day Wisdom Tooth

"Busy schedule? Resolve it same day."

Untreated wisdom teeth can cause pain, infection, and damage to adjacent teeth.
Early extraction is strongly recommended.
Using advanced imaging, we assess tooth position and nerve proximity,
then perform same-day extraction to minimize your visits.

Wisdom Tooth Extraction
Wisdom Tooth Extraction
Wisdom Tooth Extraction Professionals
Don't delay, get it done today.
Precise diagnosis and same-day extraction.
General Dentistrybutton

Key Services

Seamlessly natural,
No-Prep Veneer

"The new standard: invisible aesthetic restoration."

At just 0.1mm thin, our no-prep veneers require no enamel reduction,
delivering a perfectly natural smile with ideal tooth form.

No-Prep Veneer
No-Prep Veneer
No-Prep Veneers
No reduction. No compromise. Just a natural smile.
Aesthetic Dentistrybutton
Previous
Next

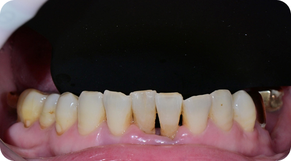
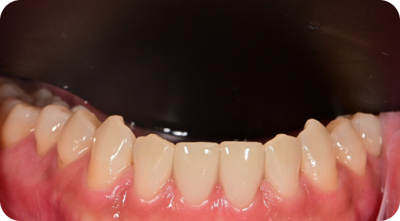
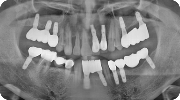
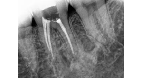
Our results speak for themselves.

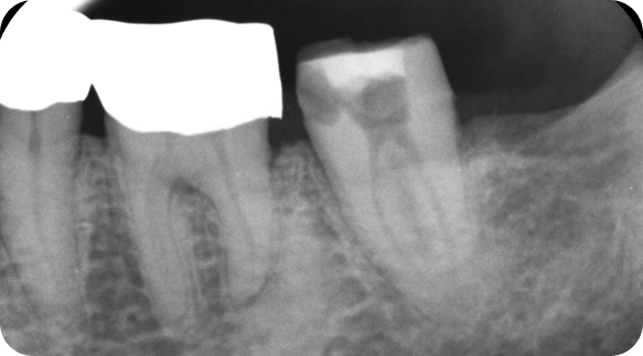
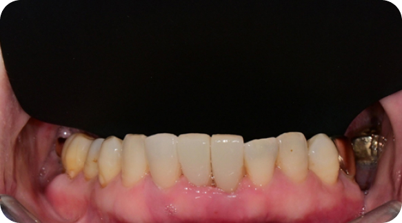
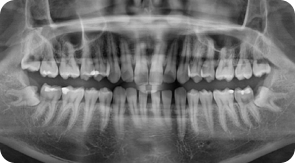
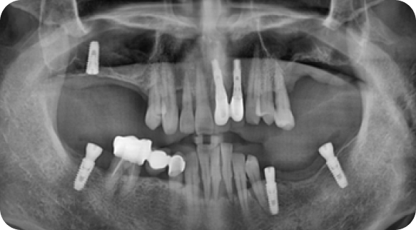
Before & After

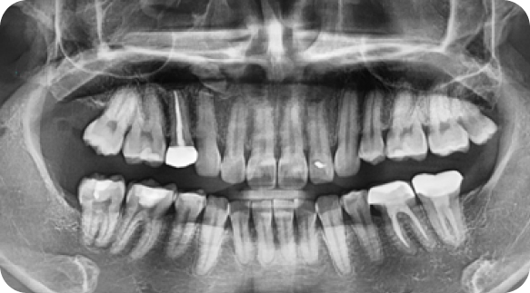
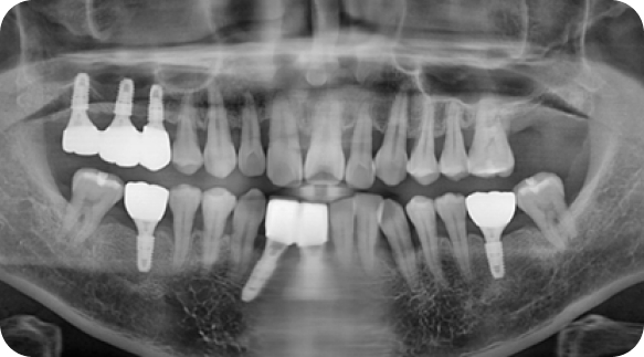
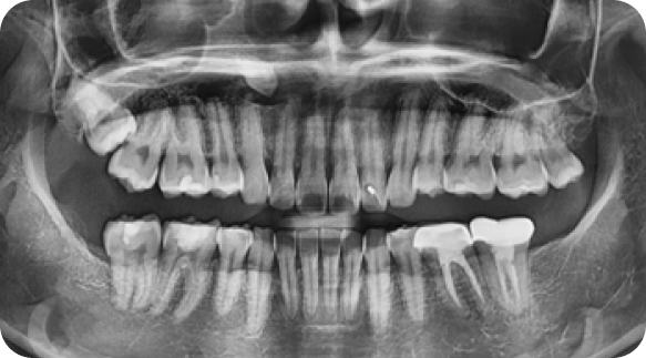
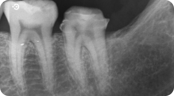
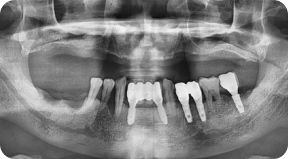
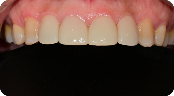
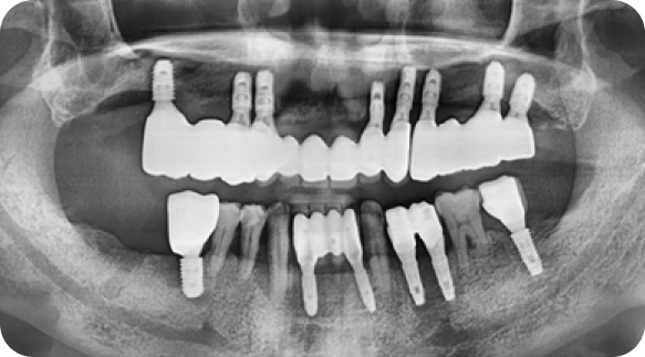
Implant Veneer Wisdom Tooth Root Canal
Implant 01 Before
Implant 01 After
Implant 02 Before
Implant 02 After
Implant 03 Before
Implant 03 After
Previous
Next
Veneer 01 Before
Veneer 01 After
Veneer 02 Before
Veneer 02 After
Veneer 03 Before
Veneer 03 After
Veneer 04 Before
Veneer 04 After
Previous
Next
Wisdom Tooth 01 Before
Wisdom Tooth 01 After
Wisdom Tooth 02 Before
Wisdom Tooth 02 After
Wisdom Tooth 03 Before
Wisdom Tooth 03 After
Wisdom Tooth 04 Before
Wisdom Tooth 04 After
Wisdom Tooth 05 Before
Wisdom Tooth 05 After
Wisdom Tooth 06 Before
Wisdom Tooth 06 After
Previous
Next
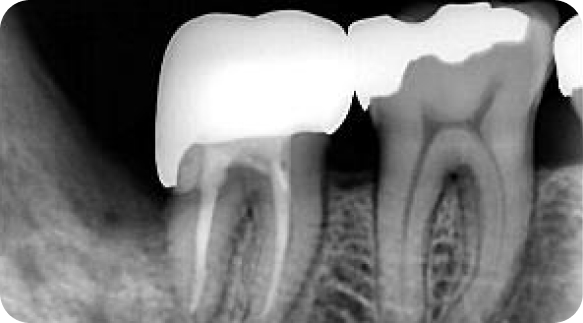
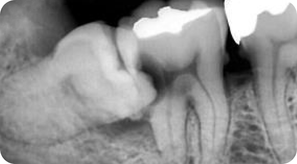
Root Canal 01 Before
Root Canal 01 After
Root Canal 02 Before
Root Canal 02 After
Root Canal 03 Before
Root Canal 03 After
Root Canal 04 Before
Root Canal 04 After
Root Canal 05 Before
Root Canal 05 After
Previous
Next

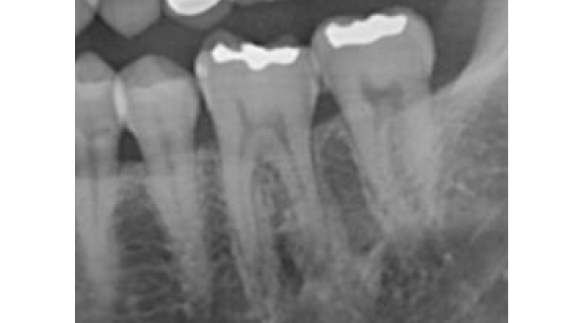
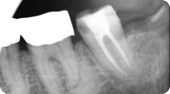
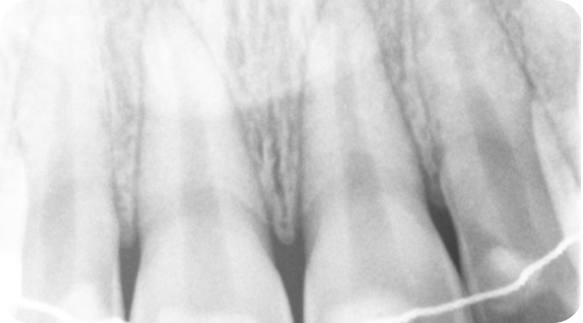
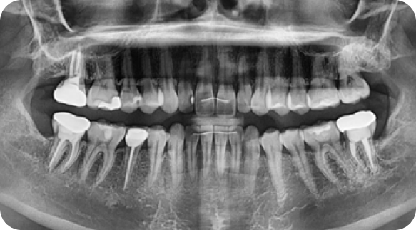
These are clinical photos of the same patient, taken before and after treatment at Yonsei Dagam Dental Clinic.
All images were captured under identical conditions with no digital alteration.
As with any dental procedure, side effects may occur, please consult with our team for thorough evaluation and informed decision-making.

Our Services

From routine preventive care
to complex procedures,
handled with precision and care.

Sleep Sedation

Sleep Sedation

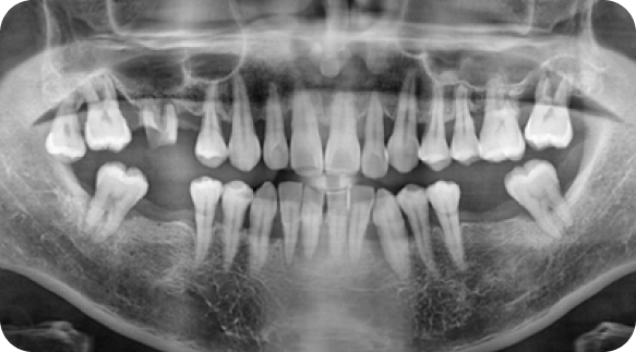
Implant

Implant

Wisdom Tooth

Wisdom Tooth

Aesthetic Dentistry

Aesthetic

Prosthodontics

Prosthodontics

Cavity / Root Canal

Cavity / Root Canal

Periodontal Care

Periodontal Care

Clinic Hours & Info

02.2043.2080

Office Hours

Office Hours

*Saturday: Open without lunch break.
*Closed on Sundays and public holidays.

2F, 211 Dongnam-ro, Songpa-gu, Seoul
Kakao MapsKakao Naver MapsNaver

Directions

By Public Transit
🚇 By Subway

Exit 4 of Gaerong Station (Line 5),
4-minute walk from the exit.

🚌 By Bus

Directly in front of Songpa Middle School Bus Stop
B Bus routes: 2311, 3217, 3317, 3322, 3417

Free Parking Available
🚗 Weekday Parking (Up to 2 hrs)

└ Hours: 09:30 – 18:30
└ Location: AI Palace Songpafore Parking Tower,
   230 Dongnam-ro, Songpa-gu

Parking Lot Parking Entrance

[Mechanical Parking] AI Palace Songpafore Parking Tower

Free Parking Available
✕ Vehicles Restricted from Tower

└ SUV: GV80, Palisade (Santa Fe permitted)
└ Sedan: G90, S-Class and other full-size sedans

🌙 Evening & Saturday Parking

└ Location: Dedicated lot behind the building
Entry and exit via front gate only