Aesthetic Dentistry Center

Aesthetic Dentistry Center

We bring out the natural beauty of your teeth —
with treatments designed to enhance your smile authentically.

Yonsei Dagam Dental

Yonsei Dagam No-Prep Veneer

Our ultra-thin 0.1mm veneers go beyond conventional methods —
preserving your natural teeth while restoring the most aesthetic smile possible.

No-Prep Veneer 01
No-Prep Veneer 02
No-Prep Veneer 03

No enamel reduction — maximum natural tooth preservation

Unlike conventional veneers that require significant enamel removal,
our 0.1mm ceramic veneers bond seamlessly for a natural, beautiful result.

  • 01Golden-ratio restorations tailored to your facial profile
  • 02No enamel reduction — prevents sensitivity and side effects
  • 03Final restoration previewed and confirmed before proceeding
※ Treatment approach (no-prep or minimal-prep) may vary based on individual tooth condition and alignment.

Where the hands of the finest ceramist in aesthetic dentistry
meet the warmth and sincerity of Yonsei Dagam

Yonsei Dagam Dental
One design, made for one person

One person. One design.

Not just a tooth — a work of art.
Through Oral Design's precision craftsmanship,
we create a smile that is uniquely yours.

Premium veneers built on detail

Detail-driven Premium Veneers

A brilliant smile begins with the smallest details.
Guided by Oral Design's philosophy and master craftsmanship,
we deliver results that exceed the natural.

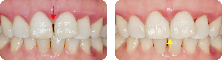
Black Triangle

Bothered by the dark gaps between your front teeth when you smile?
These triangular spaces — caused by tooth alignment or gum contour — can be naturally corrected with a simple resin treatment.

Black Triangle 01
Black Triangle 02
Previous
Next

Front Tooth Resin

Good alignment, healthy teeth
but bothered by gaps between your front teeth?
When dark triangular spaces appear between the front teeth and gumline,
resin bonding can fill those gaps for a naturally beautiful smile.

Front Tooth Resin

Visible gaps along the gumline? Here's the solution.

Solution for visible gum gaps
Yonsei Dagam Dental

Aesthetic Restoration

Preserve your natural teeth while improving aesthetics — no orthodontics needed, with fast, visible results.

Chipped ToothChipped Tooth Discolored ToothDiscolored Tooth Gapped TeethGapped Teeth Front Tooth CavityFront Tooth Cavity
Veneer
VeneerVeneer

The most natural and refined option for front teeth.
A thin ceramic shell — no-prep or minimally reduced (0.1–0.2mm) — is bonded
to the tooth surface, matching natural color and form.

All-Ceramic Crown
All-Ceramic CrownAll-Ceramic Crown

Unlike veneers, an all-ceramic crown fully encases the tooth.
High-strength ceramic reproduces natural color and translucency,
delivering both durability and outstanding aesthetics.

Resin
ResinResin

A tooth-colored composite bonded directly to the tooth surface.
Ideal for smaller cavities or visible areas where aesthetics matter —
blending seamlessly with natural tooth color.

Inlay
InlayInlay

After removing decayed tissue, the cavity is restored with a custom inlay
that matches the original shape and function of the tooth —
tooth-colored for a natural, aesthetic result.

Personalized 1:1 diagnosis & treatment planning Facial profile analysis for refined, high-quality results

Teeth Whitening

Brighten discolored teeth without any reduction or damage —
our professional-grade, high-concentration whitening delivers visible results in a single visit.

Professional WhiteningProfessional Whitening High-Concentration AgentHigh-Concentration Agent Minimal Side EffectsMinimal Side Effects Fast ResultsFast Results Personalized TreatmentPersonalized Treatment
Teeth Whitening Teeth Whitening
Teeth Whitening

Clinic Hours & Info

02.2043.2080

Office Hours

Office Hours

*Saturday: Open without lunch break.
*Closed on Sundays and public holidays.

2F, 211 Dongnam-ro, Songpa-gu, Seoul
Kakao MapsKakao Naver MapsNaver

Directions

By Public Transit
🚇 By Subway

Exit 4 of Gaerong Station (Line 5),
4-minute walk from the exit.

🚌 By Bus

Directly in front of Songpa Middle School Bus Stop
B Bus routes: 2311, 3217, 3317, 3322, 3417

Free Parking Available
🚗 Weekday Parking (Up to 2 hrs)

└ Hours: 09:30 – 18:30
└ Location: AI Palace Songpafore Parking Tower,
   230 Dongnam-ro, Songpa-gu

Parking Lot Parking Entrance

[Mechanical Parking] AI Palace Songpafore Parking Tower

Free Parking Available
✕ Vehicles Restricted from Tower

└ SUV: GV80, Palisade (Santa Fe permitted)
└ Sedan: G90, S-Class and other full-size sedans

🌙 Evening & Saturday Parking

└ Location: Dedicated lot behind the building
Entry and exit via front gate only