연세다감치과 소개
연세다감의 특별함
수면 치료 센터
임플란트 센터
심미 치료 센터
일반진료 센터
커뮤니티
KR
EN
연세다감치과 철학
의료진 소개
언론 속 연세다감치과
대학병원급 장비
치과 둘러보기
진료시간 및 오시는 길
Foreigner Friendly
단계적 무통 마취 시스템
디지털 치과
수면 치과 치료
철저한 멸균 소독
안심 진료 보증제
수면 마취 치료란?
수면 마취 약물 종류
수면 마취 치료 진행 순서
실시간 모니터링
수면 마취 치료 추천 대상
수면 마취 치료 주의사항
무절개 임플란트
원데이 임플란트
네비게이션 임플란트
상악동 거상술
발치와 보존술
전악(전체) 임플란트
임플란트 재수술
무삭제 라미네이트
블랙트라이앵글
앞니 레진치료
심미 보철
치아미백
당일 사랑니 발치
자연치아 살리기
턱관절 치료
무통 스케일링
전후사례
실제 환자 리뷰
연세다감 블로그
연세다감치과
전후사례
실제 환자 리뷰
연세다감 블로그
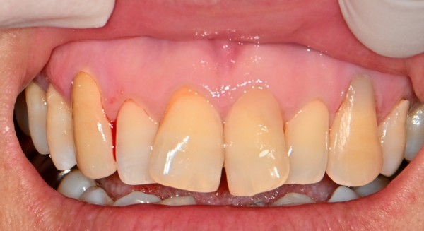
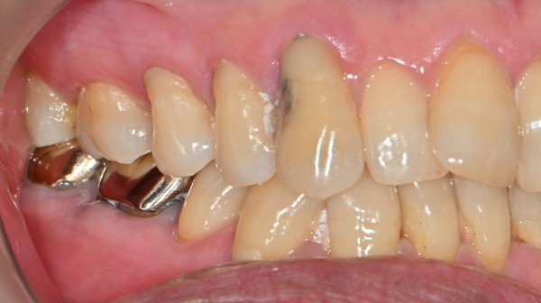
임플란트
test
작성자
최고관리자
작성일
26-04-24
조회수
8
댓글
0
test
목록
연세다감치과 진료 안내
02.2043.2080
진료시간
*토요일은 점심시간 없이 진료합니다.
*공휴일 및 일요일은 휴진입니다.
서울 송파구 동남로 211, 2층 연세다감치과
카카오 지도
네이버 지도
오시는 길